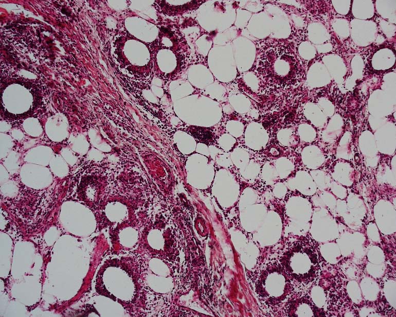
バザン硬結節性紅斑(バザンこうけつせいこうはん、英: Erythema induratum)とは、皮膚に生じる脂肪織炎のこと 。 結核疹(結核菌に対するアレルギー反応のもの)と非結核性のものがある。
概要
中年女性の下腿屈側に好発する。結節性紅斑と比較し局所反応が弱い。発見者はフランスの皮膚科:Pierre-Antoine-Ernest Bazin。
治療
結核菌を検索し、陽性の場合は結核の治療を行う。非結核性の場合は安静の上、ステロイド、NSAIDsを用いる。
脚注
関連項目
- 皮膚炎




バザン硬結節性紅斑(バザンこうけつせいこうはん、英: Erythema induratum)とは、皮膚に生じる脂肪織炎のこと 。 結核疹(結核菌に対するアレルギー反応のもの)と非結核性のものがある。
中年女性の下腿屈側に好発する。結節性紅斑と比較し局所反応が弱い。発見者はフランスの皮膚科:Pierre-Antoine-Ernest Bazin。
結核菌を検索し、陽性の場合は結核の治療を行う。非結核性の場合は安静の上、ステロイド、NSAIDsを用いる。



